診療内容
診療対象疾患
肺悪性腫瘍(肺癌、転移性肺腫瘍)、肺良性疾患(良性腫瘍、気胸、びまん性肺疾患、炎症性肺疾患)、縦隔疾患(胸腺腫、奇形腫、神経原性腫瘍などの縦隔腫瘍、縦隔炎)、胸壁・胸膜疾患(胸壁腫瘍、悪性胸膜中皮腫、膿胸、乳び胸)、機能的疾患(手掌・腋窩多汗症、レイノー氏病)、重症筋無力症
疾患別治療方針
肺癌
肺癌その進行度により病期IからIV期に分類されます。また、肺癌は非小細胞肺癌(腺癌、扁平上皮癌、大細胞癌、腺扁平上皮癌、腺様嚢胞癌、粘表皮癌など)と小細胞肺癌に分類することができます。どの病期または組織型にあてはまるかにより治療法は異なります。非小細胞肺癌の場合、I期、II期、IIIA期の一部であれば手術療法の適応となります。なかでもI期症例は胸腔鏡手術の良い適応とされています。当科では癌の進展状況、全身状態、心肺機能など十分考慮した上で、手術可能であるか、術式をどうするか(胸腔鏡下手術の適応など)さらには術後補助化学療法を行うかを呼吸器内科医と連携をとりながら肺癌を治療していきます。また、当科は胸腔鏡手術いわゆる内視鏡手術を積極的に行い、患者さんの体に優しい手術を得意としています。当院で施行した胸腔鏡下右肺葉切除術+縦隔リンパ節郭清の術後の創部の写真を以下に示します。まず、5cm大の小開胸創のみの胸腔鏡手術で、患者さん側に対して侵襲が小さく、創部痛も極めて最小限に抑えます(Single Incision Thoracoscopic surgery:SITS写真1)。さらに、胸腔内の状況に応じて3つないし4つのポート孔から手術を行う(いわゆる完全胸腔鏡手術:Pure Video Assisited Thoracoscopic surgery:Pure VATS写真2)または、小開胸創(5から 10cmサイズ)と1つないし2つのポート孔から行う手術(Video Assisted Thoracoscopic Surgey:VATS写真3)を行います。当科での胸腔鏡手術は1)手術の大部分がモニター下で、2)小開胸創のサイズは5から10cm(術者の手が胸腔内に挿入不能なサイズ)、3)肋骨切除がなされない手術と定義しています。胸腔鏡下手術とは胸腔鏡(カメラと光源を兼ね備えた器具)を用いて視野を確保し、胸腔鏡や自動縫合器、鉗子などを挿入し、手術を行う手術法です。呼吸器外科での胸腔鏡手術の厳密な定義はいまだ定めれてはいませんが、当科では患者さんに対して上記の術式で最大限低侵襲になるよう心掛けております。また、進行癌に対しても限りなく完全切除(腫瘍を完全に切除すること)を目指して手術を行います。
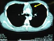
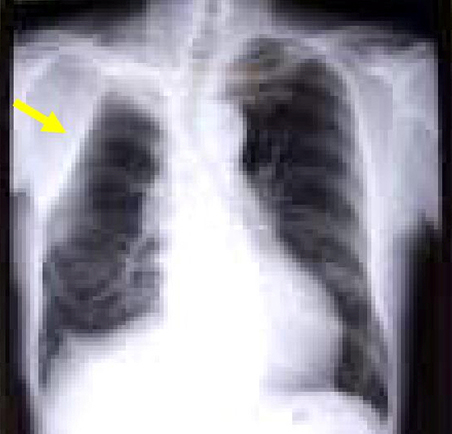
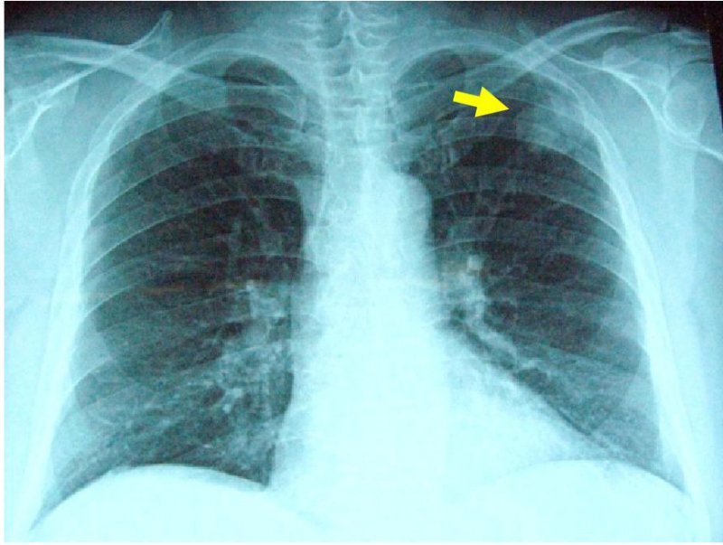
左肺癌の画像所見
胸部XP(左上肺野に腫瘤影あり)
胸部CT
当科での胸腔鏡手術の術後創部写真
1つの小切開での手術
3ポートでの手術
1つの小切開創と
1つのポート手術
胸腔鏡手術の実際(右肺上葉切除時の自動縫合器使用例)
肺静脈切離
肺動脈切離
気管支切離
葉間切離
術中に使用しているデバイス
自動縫合器
カートリッジの仕組み
超音波凝固切開装置
ハーモニックスカルペル
Tissue sealer
エンシール
進行癌手術症例
(1)胸壁浸潤肺癌の術前・術後の胸部単純X線および術中写真です。手術は右肺上葉切除術+胸壁合併切除(右第2~6肋骨切除)+縦隔リンパ節郭清を施行しました(下図)。
術前 胸部XP
術後 胸部XP
(2)右肺癌+巨大胸壁転移の症例に対して右肺上葉切除+縦隔リンパ節郭清ならびに胸壁転移切除・腹直筋による胸壁再建術(下図)。
胸部 CT:巨大胸壁転移
術中所見:胸壁合併切除 (第6,7,8,9,10肋骨切除)
転移性肺腫瘍
肺癌が肺に発生した癌であるのに対し、転移性肺腫瘍は他の臓器に発生した悪性腫瘍が肺に転移したものをいいます。遠隔転移と呼ばれ、他臓器に存在する腫瘍細胞が血管内を血流にのって肺まで運ばれ、着床し、増殖したものです。癌や肉腫などの悪性腫瘍は血管内に入り込み、そのごく一部が発育に条件の良い臓器で転移巣を形成すると考えられています。肺に転移しやすい腫瘍としては肺癌(肺から肺へ)、骨肉腫、腎細胞癌、乳癌、大腸癌、甲状腺癌などが知られています。治療は原発臓器の性質や転移個数などによって異なりますが、原発巣が完全切除されており、肺以外に転移がなく、肺転移の個数が少数で、心肺機能が保たれていれば外科的切除を行うことがあります。当科では両側肺に病変が存在している場合でも身体状況が良好であれば積極的に一期的に腫瘍摘出を行っています。大腸癌、腎細胞、肺癌などの転移性肺腫瘍に対し、年間15例前後の胸腔鏡下手術を行っています。
縦隔腫瘍
縦隔は胸腔の正中部で、肺を除くすべての胸部内蔵および構造を含む部分をいい、解剖学的には胸郭内で左右の縦隔胸膜、脊椎、胸骨で境界される部位であり、その部位にある臓器から発生した腫瘍を縦隔腫瘍といいます。縦隔腫瘍には胸腺腫、奇形腫、気管支原性嚢胞、神経原性腫瘍、リンパ腫、胸腺癌などがあり、その一部が外科的切除の適応になります。当院でも年間20例前後の手術症例があり、術後成績は良好です。症例の大部分に対して胸腔鏡下手術を行い、症例にもよりますが術後在院日数は平均約5日前後です。
吊り上げ式胸腔鏡下縦隔腫瘍摘出術
縦隔腫瘍を摘出するためには従来、胸骨正中切開アプローチが一般的とされていました。後縦隔腫瘍に対しては胸腔鏡下腫瘍摘出術が一般的ですが、前縦隔腫瘍に対しては未だ胸骨正中切開アプローチによる腫瘍摘出術が行なわれている施設がほとんどであります。当院では前縦隔腫瘍(胸骨の直下に発生した腫瘍)に対して前胸壁皮下鋼線吊り上げ法による胸腔鏡下縦隔腫瘍摘出術を行なっています。また、重症筋無力症合併症例に対しても両側胸腔経由で前胸壁皮下鋼線吊り上げ法による胸腔鏡下拡大胸腺摘出術を施行しております。さらに、患者さんのインフォームドコンセントを取得した状況下で腫瘍による心膜、血管浸潤症例に対しても吊り上げ法併用下で約10~15cmの側方開胸創と2ポート孔を作成し、低侵襲手術を追及しております。従来の胸骨正中切開法では胸骨を縦方向に切断し、ワイヤーを4ないし5箇所で固定する必要があり、整容上も好ましくなく退院後の日常生活にも問題を来たすことがあります。当院の術式では糖尿病合併、ステロイド内服している患者さんで創部治癒機転の遅延や創部感染の危惧が予測される場合に有用であり、また術後創部痛、退院後のADL(Activity of Daily Life)に関しても患者さんの満足度は高く、良好な評価をいただいております。腫瘍の状態にもよりますが、術後平均約5~7日で退院可能となります。
悪性胸膜中皮腫
悪性胸膜中皮腫はアスベストの吸入により肺、胸膜に慢性の炎症を惹起し、胸水貯留や腫瘍を胸膜に発生させます。その腫瘍学的悪性度は一般的に不良であり、手術療法、放射線療法、化学療法などを組み合わせた集学的治療が行われています。当院でも治療可能であり、当院の外科治療の特徴として形成外科医の協力のもと横隔膜を広背筋弁で再建、心膜を自己大腿筋膜にて再建し、胸膜肺全摘術+縦隔リンパ節郭清を行います。従来、人工物による横隔膜、心膜を再建していましたが、自己組織を用いることにより術後感染のリスクや全身の炎症反応の軽減に努めております。
壁側胸膜の腫瘍多発
(白色調結節)
心膜、横隔膜の腫瘍
肺の表面上の腫瘍
術中所見
広背筋による横隔膜再建
自然気胸
胸膜腔内に空気が貯留し、肺が虚脱した状態を気胸といいます。成因は以下のものがあります。
特発性気胸
特発性気胸は肺嚢胞(ブラ)の破裂によって発生するもの。
続発性気胸
肺結核、肺膿瘍、肺癌、転移性肺腫瘍など肺内病巣の穿孔によって発生するもの。
外傷性気胸
胸壁の穿通性外傷、肋骨骨折の断端による肺損傷、胸部外傷による気管・気管支損傷などによって起こるもの。
月経随伴性気胸
子宮内膜の組織の一部が肺や横隔膜に迷入し、月経時にその部分が剥脱して気胸を起こすもの。気胸の程度は肺の虚脱の状態(虚脱度)によって癒着のない場合、胸部単純x線写真で判断する。
- 軽度:肺尖が鎖骨レベルまたはそれより頭側にある。またはこれに準ずる程度。
- 中等部:軽度と高度の中間程度。
- 高度:全虚脱またはこれに近いもの。
自然気胸の術中所見
肺嚢胞からの空気漏れ
肺嚢胞の結紮
術中写真自動縫合器による肺嚢胞(ブラ)切除(肺部分切除)
肺嚢胞
自動縫合器による肺切除
肺切除後の状態
ネオベールシートによる胸膜補強
当院では胸腔鏡下手術をほぼ全例行っています。また、TissueLinkというアブレーションデバイスを取り入れ、肺のう(ブラ)胞焼灼も行い、再発率はこの3年間で0%です。年間30~40例の症例があり、術後在院日数は2~3日です。周辺の医療施設からの紹介も多く、治療成績も良好です。
保存的治療
肺虚脱が軽度であり呼吸困難などの臨床所見が乏しい場合は経過観察とします。肺虚脱中等度以上であれば、胸腔ドレナージが望ましいとされています。体動で呼吸困難がある場合、血液ガス分析で動脈血酸素飽和度が低い場合は穿刺または胸腔ドレナージが必要となります。肺虚脱が高度であれば胸腔ドレナージが必要となります。
- 胸腔ドレナージ
胸腔ドレナージとは胸腔内にチューブを留置して貯留した空気を排出し、肺虚脱を改善する治療法です。 - 胸膜癒着術
癒着剤(ミノマイシン、ピシバニール)を胸腔に注入して、胸膜の癒着をはかり気胸再発を防止します。
手術療法(手術適応)
- ドレナージによって再膨張がえられないもの。
- 再発するもの
- 著明な血胸を伴うもの
- 初回例でも明らかな嚢胞陰影の認められるもの。
- 職業上、気胸の再発が障害となる場合、飛行機パイロット、ダイビング関連など
膿胸
胸膜腔内に膿性液の貯留した状態をいいます。
病態
- 急性膿胸:膿胸の状態が通常3ヶ月以内のものをいいます。
- 慢性膿胸:膿胸の状態が通常3ヶ月以上のものをいいます。
急性膿胸は胸腔鏡下手術で膿を掻き出し、有効な胸腔ドレナージを行うことにより治療可能です。慢性膿胸に対しては肋骨を2~3本切除して胸壁に窓をあける手術操作(開窓術)を行い、膿胸腔を大気にさらすことにより清浄化を図る治療法をとります。また、開窓術は有瘻性のもの、全身状態が不良な症例に行います。肺表面の線維性被膜の剥皮も合わせて行います。右図は開窓術後の写真ですが、胸壁再建後閉窓術を行い、現在疼痛なく退院後も生活上問題ありません。
重症筋無力症
骨格筋の易疲労性を主訴とする疾患で、神経筋接合部のアセチルコリンレセプターに対する自己抗体により発症します。診断は問診、筋電図、抗アセチルコリンレセプター抗体(約80%に陽性)、抗コリンエステラーゼ剤により改善することなどより行います。重症筋無力症に対する胸腺摘出術の適応は1)胸腺腫があること、2)60歳以下でかつ2)全身症状、眼症状のため生活に支障があり、3)抗アセチルコリンレセプター抗体陽性の症例とされています。当院においても全国的に標準術式とされる胸腺とともに胸腺周囲の脂肪組織を広範囲に切除する方法すなわち拡大胸腺摘出術を行うことが可能でかつ、術後の内科医との連携治療が可能です。当科では胸腔鏡手術を積極的に行っています。
手掌・腋窩多汗症
手掌・腋窩多汗症とは交感神経異常による汗腺機能異常であり、手掌・腋窩発汗の過多を来たします。本疾患に対する胸部交感神経節切除術は第2、3、4胸部交感神経節を切除する手術であり、これにより異常発汗の軽快がみられます。保険適応疾患であり、当院においても胸腔鏡にて治療可能です。術後約2日で退院可能です。
手術適応
手掌多汗症の重症度分類(塩谷の分類)
I度:手のひらが汗で湿る程度
II度:手のひらに汗の水玉ができるが、垂れるほどではないもの
III度:手のひらから汗が垂れることがある
手術などの治療が必要となる目安はII度、III度の場合です。重症度がII度以上であっても医師の診察により手術の対象にならない場合があります。
また、この手術には代償性発汗という合併症がほぼ必発であり、十分手術説明を理解した上で手術をうけることをお勧めします。なお、当院での手術患者さんの術後満足調査では代償性発汗も考慮していただいても90%以上との結果が得られています。
サーモグラフィー
左手
右手
赤い部分が高温部位を示しています。
左手
右手
明らかに両手の体温の低下がみられ、術直後から多汗症の症状は消失します。
業績追加分
論文
- Kyoji H, Takayuki I, Ryuzo B, Kiyoshi K, Kazuo S.(2012) Video-assisted Thoracoscopic hymectomy (VAT-T) with lateral thoracotomy for stage II and III thymoma Ann Thorac Cardiovasc Surg 2013
- Kyoji H, Takayuki I, Ryuzo B, Kiyoshi K, Kazuo S.
Use of the” Secrea (Hogy TM)” sponge spacer in thoracoscopic surgery for lung cance J SurgOncol DOI 10.1002/jso.21974 , 2011 - Kyoji H ,Kiyoshi K, Shuji H, Tomomi H,Iwao M, FukushimaM, Shigeki Y Kazuo S,Masashi K Prognostic Significance of the Tumor Suppressor Gene Maspin in Nonsmall Cell Lung Cancer. Ann Thoracic Surg 79:248-53 2005
- Kiyoshi K, Shuji H, Tomomi H,Kyoji H, Iwao M, Shigeki Y, Daisuke O, Kazuo S.(2005)Surgical treatment of lung cancer patients with poor pulmonary function. Ann Thrac Cardiovasc 11(2) 87-92
- Kiyoshi K, Shuji H, Hirata T,Hirai K, Mikami I, Yamagishi S, Okada D, Shimizu K (2005)Surgical treatment of superior sulcus tumors. Surg Today 35(5) 357-363
- Kiyoshi K, Shuji H, Tomomi H, Kyoji H, Iwao M, Shigeki Y Daisuke O, Kazuo S(2004) Surgical treatment of lung cancer with vertebral invasion Ann Thrac Cardiovasc 10(4) 229 -234
- Kiyoshi K, Tomomi H, Kyoji H, Iwao M , Shigeki Y, Daisuke O, Kazuo S (2004) Surgical treatment of lung cancer combined with interstitial pneumonia:the effect of surgical approach on postoperative acute exacerbation Ann Thrac Cardiovasc 10(4) 340-346
- Kazuo S Wataru K, Haruki A, Nobuo H Kyoji H, Shigeo Tanaka. (2002)Video-assisted endoscopic thyroid and parathyroid surgery using a gasless method of anterior neck skin lifting:a review of 130 cases Surg Today 32:862-868
- Meifeng Xu, Yigang W, Kyoji H, Ahmar Ab, M Ashraf. (2001) Calcium preconditioning inhibits mitochondrial permeability transition and apoptosis Am J Physiol280:H899-H908.
- Kazuo S, Wataru Ka, Haruki A, Kyoji H, Shigeo T.(2002) Video-assisted minimally invasive endoscopic thyroid surgery using a gasless neck skin lifting method-153 cases of benign thyroid tumors and applicability for large tumors. Biomed Pharmacother 56:88s-91s.
- Masao Y, Kyoji H, Zenya N, Munehiro Y, Toshiyuki I, Yasuo S, Masataka I, Goro A.(2001) Expression of cathepsin B and cystatin C in human breast cancer. Surg Today 31:385-389.
- Yigang W, Kyoji H, M Ashraf. (1999) Activation of Mitochondrial ATP-SensitiveK+ Channel for Cardiac Protection Against Ischemic Injury is dependent on Protein kinase C activity. Circ Res.85:731-741.
- Kyoji H, M Ashraf (1998) Modulation of Adenosine Effects in Attenuation of Ischemia and reperfusion Injury in Rat Heart J Mol Cell Cardiol 30,1803-1815
欧文症例報告
- Kyoji H, Ta1. Takayuki I, Kyoji H, Ryuzo B, Kiyoshi K, Kazuo S. (2012) Choriocarcinoma of the lung:report of a case. Gen Thorac Cardiovasc Surg 60:377-380
- Kyoji H Shingo T, Yoshiharu O, Ryuzo B, Kiyoshi K, Kazuo S (2009)Venous hemangioma of the anterior mediastinum J Nipp Med Sch 77:2, 115-118
- Kyoji H, Kiyoshi K, Tomomi H, Shigeki Y, Kazuo S Masashi K (2005) Basaloid Carcinoma of the Lung Jpn J thorac Cardiovasc Surg 53:263-265
国際学会
一般公演
- Hirai K, Ibi T, Bessho R, Koizumi K, Shimizu K
New strategy for stage III thymoma combined with VATS
14th World conference of Lung cancer (Amsterdam) 2011 July - Hirai K Koizumi K, Kawashima T, Bessho R, Shimizu K
Evaluation of EphA2 receptor expression in non-small cell lung cancer :Clinical implications and molecular characterizations
12th World conference of Lung cancer (Seul) 2007 Sept - Hirai K Koizumi K, Kawashima T, Enomoto Y, Shimizu K
Overexpression of L1CAM in non-small cell lung cancer Clinical implications and molecular characterization
97h Annual Meeting AACR (Washington DC) 2006 April - Hirai K (1st out of seven)
Expression of L1 CAM in non-small cell lung cancer
11th World coference on Lung Cancer (Spain Barcelona) 2005 July - Hirai K (1st out of six)
Prognostic significance of the tumor suppressor gene maspin in
non-small lung cancer 96th Annual Meeting AACR (USA Los Angeles) 2005 April - Hirai K (1st of seven)
Expression of ALCAM/CD166 in nonsmall cell lung cance
8th Central European Lung cancer Conference (Wien) 2002 Sept
お問い合わせ
日本医科大学千葉北総病院
〒270-1694 千葉県印西市鎌苅1715
TEL: 0476-99-1111(代表)


