川崎市で人工膝・股関節手術をお考えの方へ
日本医科大学武蔵小杉病院整形外科では、
当院では、ナビゲーション技術や低侵襲手術(MIS)を用いた人工関節手術を行っており、川崎市および周辺地域から多くの患者さんが受診されています。
変形性膝・股関節症において重要なことは目の前の痛みを取ることはもちろん必要ですが、それに加えてレントゲン以外にもCT、MRI検査、そして超音波(エコー)検査等で詳しく調べることにより膝・股関節の病状をしっかり把握して今後の膝・股関節が辿るであろう経過を見定めることが極めて重要です。
痛みを我慢して粘っていればいずれ痛みが引くのか、それとも痛みはなかなか今後も変わらない状態なのか、将来的に手術した方が良いくらいまで悪化する可能性があるのか、それともあまり心配が必要ないのか、ということをしっかり把握することが重要です。
そういった全ての情報を踏まえた上で保存的加療(物理療法、理学療法、注射治療ほか)を選択するのか、それとも手術加療(人工関節置換術)を選択するのかを見極めることが出来ます。もしも手術を行うことを希望された場合にも、必ずリハビリテーションが必要です。
股関節が悪い場合には腰部から臀部、大腿部にかけての筋量・筋力の低下がみられたり、また膝関節が悪い場合にも大腿部の筋量・筋力の低下がみられることが多くあります。これらの筋量・筋力の回復は内服・注射などの保存的加療でも手術加療でも、いつもきわめて重要です。
また、体重増加がみられる場合も多いですが、人工関節置換術後に減量が進む場合はごくわずかであることが知られています。したがってもしも手術加療を考えている場合には、筋量・筋力が低下する前に、また体重増加が進む前に人工関節置換術を行った方がより良好な予後が期待出来ます。
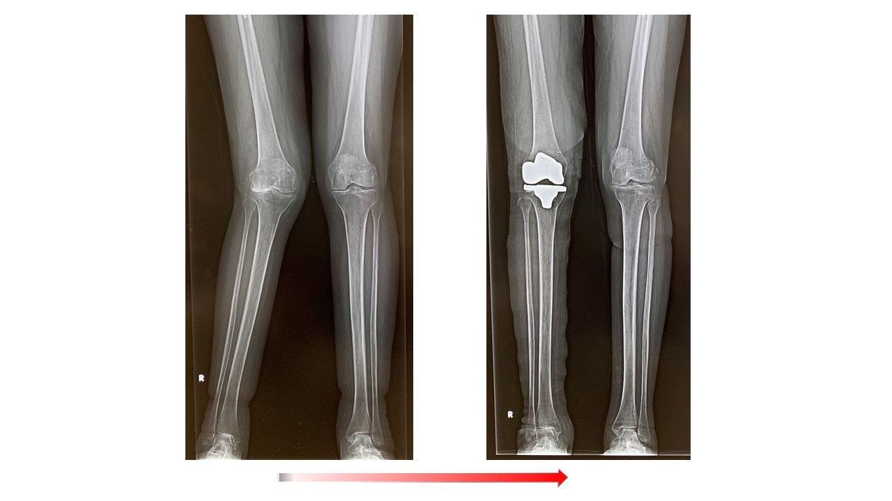
人工膝関節全置換術(単顆置換術)
人工膝関節全置換術(Total knee arthroplasty、TKA)ではナビゲーションシステムを使用して手術を行っています。より良い術後の満足度を得るため、生理的な膝のバランス、アライメントなどを考慮に入れた上で、術中の膝の状態をみながら、最適なインプラントの設置位置を決めて手術を行っています。そのため以前に比べてより使い易く違和感の少ない人工膝の再現が可能になっています。これらの術前検査として、立位での下肢全長のレントゲン検査やMRI検査、骨密度検査等も行いながら、最適なインプラントの選択を行います。さらに長期的には良好な骨の状態を保つことが重要ですので、術後も骨粗鬆症薬等につき外来でフォローアップ致します。紹介受診の場合はかかりつけのクリニックで骨粗鬆症薬の投薬を継続頂いてます。
ただし、最新の技術を持ってしても、過体重や筋力低下などの体力低下面の全てを補うことは出来ません。人工関節手術を行った場合でも筋力と体重のバランスが良くなければ思うような良い結果は得られません。体力面・フィットネスを向上させること、そして術後も継続的なリハビリテーションを行うことは非常に重要です。
人工股関節置換術(骨頭置換術)
人工股関節置換術(Total hip arthroplasty、THA)では、術前のCT画像を基にコンピューターを用いた3次元術前計画を行います。その計画を詳細に検討し、ナビゲーションシステムを使用してSuperiorアプローチと呼ばれる従来の後方アプローチから派生したMIS(最小侵襲手術)を行っています(SuperPathもしくはDirect superior approach)。そのため術後の動作制限・禁忌肢位等は基本的に設けておらず、しゃがみこみ(squatting)、足を組むといった動作をゴールとしています。
また画像にあるようなシビアな症例でもしっかりと解剖学的・生理的に好ましい人工関節を設置することが可能です。
人工骨頭置換術(Hip hemiarthroplasty)においてもMISの1つであるCPP(Conjoined tendon preserving posterior)アプローチを用いているため、術後の動作制限等は基本的にありません。
退院は杖独歩で歩行可能になり次第に自宅へ帰宅するのが通常です。手術の翌日から座位、立位等のリハビリテーションを開始しますが、体力のある元気な患者さんの場合は術後1週間で退院します。体力低下が著しい場合や変形高度の場合は長めの入院で術後4週間まで入院可能です。


