医師・医療機関のみなさまへ
診療科の概要
放射線治療は手術療法、化学療法と並ぶがん治療の3大治療法の1つです。局所療法である放射線治療は全身への影響が少なく、低侵襲性で機能温存も図れる治療法です。放射線治療は緩和から根治まで幅広く、また手術・化学療法と組み合わせた集学的治療として、その重要性は高まっています。
当院においては、放射線治療を昭和60年3月から放射線科の一部門として行なってきました。より高精度で専門性の高い放射線治療によって多摩地区のがん医療に貢献するため、放射線治療部門を分離・独立させ、新たに放射線治療科として診療を開始しました。2011年より体幹部定位照射(SRT)を開始しています。
当科では治療用のCT(富士フィルム SCENARIA64列)、3次元治療計画装置(Ray Search社 Ray Plan)、ライナック(ELEKTA社 Precise Treatment System)が設置されています。CTシミュレーターを用いた3次元治療計画を行い、多方向から病巣へ線量を集中させて最大限の効果をねらうと同時に、周囲臓器への被曝を減らして副作用を最小限に止めるよう努めています。
診察とCT撮影を含めた綿密な放射線治療計画を行なうのに時間がかかりますので、当科の診療は完全予約制となっています。

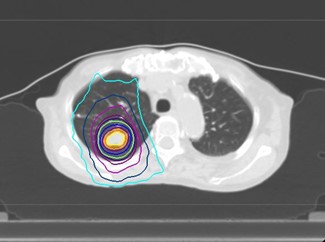
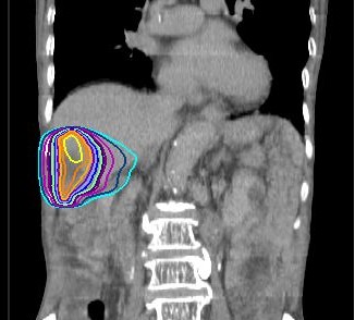
肺がんに集中した3次元治療計画の線量分布図

骨転移に集中した3次元治療計画の線量分布図

肝臓がんに対する治療計画の線量分布図

患者さんの緊張を和らげるため、オルゴールを流しています
治療実績


