聴神経腫瘍
聴神経腫瘍(前庭神経鞘腫、AT)の治療について
Acoustic neuroma
聴神経腫瘍(前庭神経鞘腫、AT)の治療についてご説明します。
聴神経腫瘍とは耳の奥、小脳橋角部という部分に出来る良性脳腫瘍の一種です。ほとんどが中年以降に一側性進行性の難聴で発病、バランスを司る前庭神経から発症する良性脳腫瘍です。脳腫瘍全体の約1割を占めます。
症状
聴覚低下
聴神経(蝸牛神経)は腫瘍の原発する神経ではありませんが、非常に機能的に弱い神経であり、直接圧迫を受けて低下します。治療症例の6~7割は当初からほぼ電話がききとれないという症状を来します。特に高音域や1000dBの低下、また聴覚そのものよりも、人の話の内容を聞き取りにくくなるという特徴があります。
顔面知覚低下・顔面痛
顔面の麻痺も来し得ますが、それよりも多いのは腫瘍のすこし上方を走行する三叉神経を圧迫することにより、顔面の知覚低下や痛み(三叉神経痛)を発症することが多い腫瘍です。
歩行障害
腫瘍が3cmを超えると脳幹、特に小脳脚を圧排し、失調症状や歩行障害を来します。
治療適応と当院における治療成績
この腫瘍の手術の最大の問題点は並行して走る顔の動きを支配する顔面神経や耳の聞こえを担う聴神経が手術で損傷を受ける危険性があることです。昔は顔面神経や聴神経を切断してしまうことも多かったのですが、現在は持続的にモニターしながら顔面神経や聴神経を温存しつつ腫瘍の摘出を行うようにしています。
また15mm以下の小型の腫瘍は長期に観察しても大きくならない場合が多く、画像を定期的に観察して経過をフォローするのもよい診療方針と考えております。
一方で小さい腫瘍で聴覚が保存されている場合には、聴覚は小さい腫瘍ほど温存が可能なので、治療を早期におすすめする場合もあります。
さらに本腫瘍は小さい場合にはガンマナイフも有効なことから、無理な全摘出を目指さず、顔面神経の温存が難しいケースでは部分摘出にとどめ、小さくなった残存腫瘍をガンマナイフでたたく治療を行い、良好な成績を収めています。
聴力に関しても現在はかなりの症例で温存ができるようになりました。手術前に聴力が良好な例85例では、45例(52%)で有効な聴力が温存され、特に20ミリ以下の小さな腫瘍で術前聴力の良好な45症 例では31例(69%)で聴力を良好に保つことが可能でした。
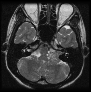
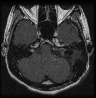
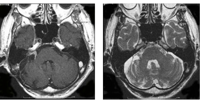
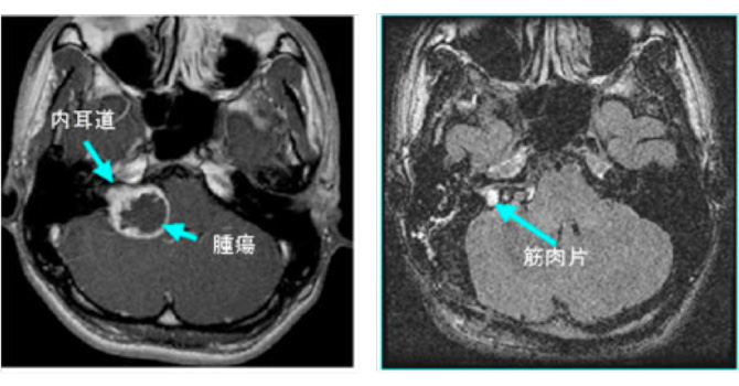
図1は若い男性で大きめの腫瘍であったため手術にて摘出しました。術前聴力は良好で、術後もほぼ聴力は変化なく、また顔面神経麻痺も出現していません。
症例紹介
図1:20代男性 聴神経腫瘍
(左図)術前MRI:術前聴力は10dB
(右図)術後MRI:内耳道に筋肉片がおかれている術後聴力は温存16dB 顔面麻痺はなし
また高齢者でも手術は有益です。図2の症例は80歳の男性症例ですが、10年来右耳難聴で聴神経腫瘍の診断はつけられておりましたが、治療希望せず放置されておりました。しかし歩行障害が進行し当院に紹介されてまいりました。
造影MRIでは大型の腫瘍を認め、周囲の脳幹や小脳が強く圧迫され腫れています。手術にて90%の腫瘍摘出を行い、脳の圧迫もとれ、症状も改善し、治療後3年たった現在でも元気で外来に通っていらっしゃいます。
図2:80歳男性 歩行障害をきたした大型神経鞘種
(左図)治療前MRI:顕著な脳の圧迫と脳浮腫を認める
(左図)術後2年後のMRI:薄い残存腫瘍をみとめるが再増大なく、脳の圧迫は改善している
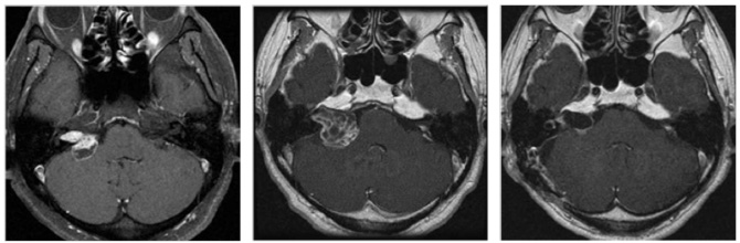
図3はガンマナイフ後、残念ながら増大してしまった50代男性の腫瘍です。聴覚はすでに失われておりましたので、注意深く顔面神経を保護しつつ手術を行い、95%摘出しました。術後問題なく社会復帰されています。
図3:50代男性 ガンマナイフ後3年半で拡大
(左図)ガンマナイフ時(中図)3年半後(右図)手術後 術後4年経過するも再増大なし

術中写真:神経周囲に腫瘍を残して摘出
この症例のように聴神経腫瘍の治療にはガンマナイフのみならす、手術治療のチームのチームワークが必要です。 最近聴神経腫瘍に関しては、「小さなものは切らずにすむガンマナイフのほうがよい」と思って来院される患者さんが増えていますが、手術とガンマナイフにはそれぞれ利点と欠点があります。
脳神経外科手術に関しては村井、梅岡が相談を受け付けます。
そのほか、当院では遺伝性に聴神経腫瘍が発生する病気(神経線維腫症II型:左右両側に聴神経腫瘍、そのほか多くの神経腫瘍が出来る病気)の患者さんの診療も積極的に行っております。
図4:神経繊維腫症2型の症例
42歳女性 両側の聴神経腫瘍をみとめる。NF2の症例。両側とも聴覚は良好であり、大きい方の腫瘍をまず摘出。聴覚は術後やや低下したが温存された。右の小型聴神経腫瘍は拡大傾向なく経過を観察している。

▲ 術前MRI

▲ 術前の聴覚

▲ 術後MRI 左側の腫瘍は被膜を残して摘出されている

▲ 術後左聴覚は25dBまで低下したが、良好な温存。
当科スタッフ医師がいつでもご相談に応じますので治療に関してご質問があれば、お尋ねください。
〒113-8603 東京都文京区千駄木1-1-5
日本医科大学 脳神経外科外来受付
TEL:03-3822-2131(平日9時00分~17時00分)



