脳梗塞
脳梗塞の外科治療(のうこうそく)
Cerebral infarction/Stroke
脳梗塞:脳の血管がつまって脳への血流が減少して神経症状を出す病気
一過性脳虚血発作、脳梗塞
脳は、左右の内頚動脈、椎骨動脈の4本の血管で血流を受けています。これらの血管に血栓が詰まったり、動脈硬化で狭窄が生じると脳循環障害を来します。脳は、必要とする血流が来なくなると片麻痺や構音障害、失語、意識障害といった神経症状を来します。さらに一定の時間が経過すると血流の低下した脳は、脳梗塞に至ります。現在の医学では、脳梗塞に至った脳細胞を再生することは出来ません。このため、動脈硬化性に血管が狭窄し、脳循環障害を起こしている場合、将来の脳梗塞を予防するため予防的に手術を行う事が検討されます。
手術を検討されるのは、一過性脳虚血発作や脳梗塞を来した方で症状が回復し、日常生活の自立を得られている方が対象になります。一過性脳虚血発作は、一時的に脳循環の障害により神経症状(片麻痺、構音障害、失語、意識障害、一過性黒内障等)が出現しますが、24時間以内に症状が消失するものです。一過性脳虚血発作は、脳梗塞の前兆としてとても重要です。一過性脳虚血発作後、1年間で10~15%の方が脳梗塞になると言われています。また、その後も年間5%程度の脳梗塞の発症率があると言われています。(脳梗塞の無い方の年間発症率は、1%以下です。)
再発予防の為の脳梗塞の手術
頚動脈狭窄の治療について
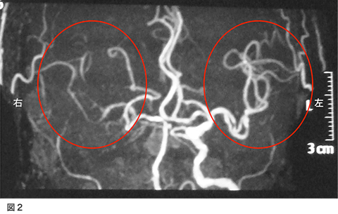
脳の血管が急につまって倒れてしまう病気が脳梗塞です。脳梗塞は様々な原因があるのですが、その一つとして頚部内頚動脈狭窄があります。これは糖尿病、高血圧症、喫煙、高脂血症といった生活習慣病が動脈硬化を来たし、頚部の内頚動脈が細くなり、ここに血栓(小さな血のかたまり)が形成され血液の流れに乗って脳まで流れて脳の血管を詰まらせる、または血管が細くなることで脳の血の巡りが悪くなり脳梗塞を発症します(図1左、図2)。
頚部内頚動脈狭窄症は多くの場合狭窄がかなり進行するまで無症状で、脳梗塞が発症するまで気付かないことが多いようです。また、脳梗塞は脳の病気のため一般の医師も脳の検査のみ注目し、頚動脈狭窄に気付いてないこともあるようです。すなわち脳梗塞の発症予防には脳卒中専門医のいる施設を受診し、頚部内頚動脈狭窄をなるべく早く発見する必要があるわけです。
検査は頚動脈エコー、頸部血管MRA、または血管撮影などがあります。この検査の選択は各施設によって異なります。これらの検査で強い動脈狭窄が発見されたら患者さんと相談して手術治療を考えていくことになります。この手術を頚動脈内膜血栓摘出術(CEA)といいます。簡単に説明すると、動脈硬化で細くなった血管を広げて、脳梗塞の原因となる血の塊(血栓)を取り去ってしまう手術です(図1、図3)。現在最も安全性と治療効果に優れている方法です。この手術の適応で興味のあるところは施設の手術成績によって適応が決定されることです。症状が出現した内頚動脈狭窄症に対してはCEAの合併症が6%以下の施設での手術が有効性であるとされています。別の言い方をするとCEAの合併症が6%以上の施設、術者はこの手術をやってはいけないことになります。
どのような医療行為も100%安全なことはありえませんが、出来る限り合併症を出現させないよう手術技量の向上に努めております。また、何らかの理由によりCEAが出来ない患者さんには頸動脈ステント留置術(CAS)の施行も可能です。
浅側頭動脈中大脳動脈吻合術について
浅側頭動脈は、側頭部の頭皮を栄養する直径1.5mm位の動脈です。これを中大脳動脈という脳の動脈と吻合し、新たな血流経路を作ってあげる手術を浅側頭動脈中大脳動脈吻合術といいます。この手術は、1980年代に行われた大規模臨床試験で脳梗塞予防効果がないとされ、行われなくなっていました。しかし、(1998-2002の年のStudyなので、近年というには少し昔すぎるかなと思います。)1998-2002年にかけて日本で行われた大規模臨床試験(JET-study)で症例を選べば、内科的治療群(抗血小板薬の内服)よりも外科的治療(抗血小板薬の内服+浅側頭動脈中大脳動脈吻合術)の方が、脳梗塞を予防出来ると報告されました。これにより、再度脳梗塞の予防手術が行われるようになりました。
JET-studyでは、脳血流検査(SPECT)にて健側より20%以上の脳血流量の低下があり、アセタゾラミド負荷による検査にて脳循環予備能が10%以下になっている方には、手術が有用であると報告しています。つまり、脳の血管に狭窄があっても症状を呈していない方や症状があっても脳循環障害が軽度の方は、抗血小板薬(血をサラサラにする薬)を内服して治療します。
浅側頭動脈中大脳動脈吻合術の実際
発症
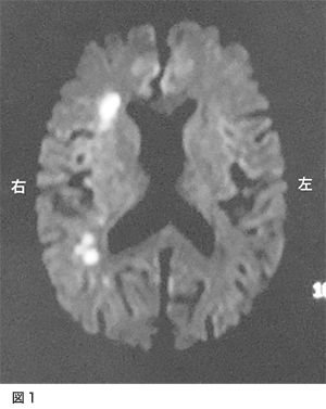
脳梗塞で発症された方です。意識障害と左不全片麻痺、構音障害で発症されました。図1が入院時のMRI拡散強調画像です。右側の白くなっているところが脳梗塞になっている部位です。図2の、MRA(MRIで行う血管の検査)では、右側の中大脳動脈の描出がほとんど無い状態でした。
脳血流検査(SPECT)図3
左は、安静時検査、右がダイアモックス負荷時の検査です。安静時で右側の血流が低下していますが、ダイアモックスの負荷でさらに左右差が拡大しています。これは、盗血現象と呼ばれ脳循環予備能の強い障害を示します。
浅側頭動脈中大脳動脈吻合術 図4
手術で浅側頭動脈を中大脳動脈に吻合しました。本例では1本のみですが、症例により2本吻合する場合もあります。
術後MRA、脳血管造影 図5
右は術後のMRAですが、術前ほとんど写っていなかった右中大脳動脈がバイパスからの血流で描出されるようになっています。左は、脳血管造影(右外頸動脈撮影)ですが、浅側頭動脈から中大脳動脈全域が描出されています。
脳血流検査(CT perfusion)図6
術後検査として造影剤を使用したCTで血流評価をしました。この結果、脳血流量の左右差はほとんど消失しています。
浅側頭動脈中大脳動脈吻合術の合併症について
術後出血
抗血小板薬を使用した状態で行う手術ですので一般的な手術より厳重な止血が必要となります。
脳梗塞
バイパスの手技の問題や麻酔による血圧の低下で脳梗塞を来すことがあります。
過還流症候群
血流障害に陥っていた脳に急に血流が流れ込むため、脳出血、けいれん発作を起こすことがあります。
創部の壊死、循環障害、感染
皮膚の血管を剥離して脳の血管に吻合するため、この手術により頭皮の血流が悪くなります。このため、一般的な脳外科手術より創部の治癒が悪かったり、感染しやすい傾向にあります。
心筋梗塞
動脈硬化を原因として脳の血管が狭窄することが多く、このような患者さんでは、心臓の血管(冠動脈)にも狭窄があることがあります。術前に循環器系の精査を行います。
慢性硬膜下血腫
脳外科手術の後に脳の表面に古い血腫がたまってくることがあります。頻度がそれほど多いものではありませんが、場合により手術を要することがあります。



